吃动平衡 健康体重 全民行动

2025-05-22
别让“五月病”偷走你的夏天

2025-05-17
肺动脉CTA检查:守护长期卧床与VTE高危患者的隐形盾牌

2025-05-15
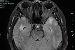
磁共振检查:解锁 CADASIL“密码”的钥匙

2025-04-17
菜市场疗愈学:春季时令采购的心理保健作用

2025-04-16
乐小七食话实说 | 每一口都是力量!帕友的饮食秘籍来了!

2025-04-11
睡不着就海淘褪黑素,安全有效否?

2025-03-26
乐小七食话实说 | 吃得好,才能睡得香!

2025-03-19
揭秘精神科的影像“AI神器”!

2025-03-09
驱散春日阴霾,别让“情绪内耗”!这份快乐秘籍请收好

2025-03-06
闭眼燃烧卡路里!哇咔咔!

2025-03-05
看到人就喊“帅哥美女”的刘阿姨......不简单啊不简单!

2025-02-18
精神科药物,都是“精神药品”吗?

2025-02-15
催人老的不只岁月,还有坏情绪!莫让“焦虑”,成为老年人的“心魔”!

2025-02-13
是谁限制了我夕阳下的奔跑?

2025-02-11
春节过后如何应对情绪障碍患者的体重问题

2025-02-08
筹备过年劳心费力,孩子一句话,却让老人破防了......

2025-01-24
2025-2027,精神卫生服务年。 杭州七院 浙江大学医学院附属精神卫生中心

2025-01-23
“要过年了,我想接妈妈回家。但是......”

2025-01-16
“痴呆”,有时也会“掺假”……

2025-01-14